Dental Bridges Fairfield

Bridge the gap in your smile with our custom-made dental bridges. Restore your bite and confidence with a natural-looking, long-lasting solution. Contact us to schedule a consultation.

SCHEDULE YOUR APPOINTMENT

Real Stories from Our Patients

Najmi Dental

李秀妹

What a wonderful experience with Dr. Najmi! It was my child's first time visiting the dentist, and I couldn't have asked for a better introduction to dental care. Dr. Najmi was incredibly patient, kind, and made my child feel at ease from the moment we walked in. They explained everything in a way that was fun and understandable for little ones, and the entire team created a warm, welcoming environment. I highly recommend Dr. Najmi for anyone looking for a professional, gentle, caring dentist for their child's first visit. Truly an excellent experience!

Lisa Bloom

I booked myself in for wisdom extraction for three of my teeth yesterday. Unlucky for me I had to get my bottom right one done as a surgical extraction as it was horizontally impacted (growing on its side towards my teeth). Lucky for me I had such a great dentist! Dr Mamta was so lovely and reassuring! As well as the dental assistant Jim! I decided last minute to have gas because I was pretty nervous about the needles, which Jim gladly set up for me and helped picked out a show. Both made me super comfortable and reassured me the whole way. I’m so pleased I went to Dr Mamta instead of going to a specialist as she was extremely nice and quick! No nerve damage so I appreciate that to another level as my exo had high risk of it. Love the clinic so much and definitely recommend it to everyone especially with extractions as Dr Mamta is quick and thorough!!

Sinead Landy

Everytime I visit Najmi Dental, the staff are always so kind and welcoming! Heidi the receptionist is always super lovely and helpful!! Navisa and Luisa are always fast and go through measures to make sure I’m feeling comfortable throughout the whole treatment experience. Thanks again guys!!!

Charlotte Daò

Dr mamta was very helpful, kind, reassuring and understanding. She Told me what I need to do in a step by step plan and explained everything to me in a way I could understand. The girl Luisa at the reception just pfowieo amazing, splendid even. She’s so demure and cutesy. 10/10 will ask for her we chat next time.

Sarah Ainsworth

Excellent service! As unpleasant as any dentist appointment is, Dr Mamta did a great job to make it as pleasant as possible. She was knowledgeable and took the time to properly explain how to better manage issues found.

Restore Your Gaps with Dental Bridges

Don’t let gaps in your smile hold you back. We make dental bridges in Fairfield to fill those spaces to restore your smile and bite.

Dental Bridges

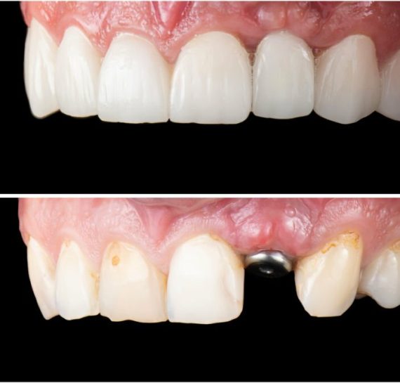
Dental bridges are a solution to replace one or more missing teeth. Typically, a bridge consists of two crowns placed on the teeth on either side of a gap (called abutment teeth) and a false tooth or teeth in between (called pontics). It can be used to help treat those suffering from multiple decayed, damaged or missing teeth restoring the smile and function. We specialise in crafting dental bridges using state-of-the-art technology to match the shade and contour of your natural teeth.

Dental Bridges
Dental Bridges

Dental Bridges

Dental bridges are a solution to replace one or more missing teeth. Typically, a bridge consists of two crowns placed on the teeth on either side of a gap (called abutment teeth) and a false tooth or teeth in between (called pontics). It can be used to help treat those suffering from multiple decayed, damaged or missing teeth restoring the smile and function. We specialise in crafting dental bridges using state-of-the-art technology to match the shade and contour of your natural teeth.

Dental Bridge Treatment Fairfield

Dental Bridge Treatment

The dental bridge procedure takes place in two visits and are seamless, virtually pain-free appointments. An initial consultation is required to assess the teeth and need for a bridge:

1- Consultation and Smile Design

A full mouth assessment is done during the initial appointment to check the health of the teeth to be used for the bridge and size/shape of the gap present. The way you speak, smile and bite are analysed. A 3D Digital Scan of your teeth is taken to help with the planning of your dental bridge.

2- Preparation of Teeth & Temporary Bridge

During the first appointment of your bridge process, the teeth used to hold the bridge are prepared for dental crowns or attachments depending on your bridge design. A digital scan is taken and sent to our skilled lab technicians to craft. A temporary bridge is placed at the end of this appointment which allows you to test drive your new smile and final bridge.

3- Final Bridge Application

During the final appointment the temporary bridge is removed and replaced with the final white coloured bridge. This can be a porcelain bridge, zirconia bridge or metal-based bridge depending on what is best suited for you functionally and aesthetically. It is also bonded to your teeth with high strength cement material.

Which Dental Bridge Option is best suited for you? Discuss now with one our Dentists!

Types Of Dental Bridges

  • Maryland Dental Bridge – A conservative option, this bridge uses porcelain or metal wings on its sides, bonded to your adjacent teeth.
  • Traditional Dental Bridge – The most common type involves placing crowns on teeth surrounding the gap, supporting a false tooth in between.
  • Implant-Supported Bridge – This dental bridge implantation process uses implants instead of natural teeth to hold the bridge in, it offers high stability, especially for multiple missing teeth.
  • Cantilever Dental Bridge – This bridge is anchored to a single crown on one side and is often used when only one adjacent tooth is available.
  • Composite Resin Bridge – Often considered a temporary solution, this bridge is made by bonding a composite material directly to the adjacent teeth.
dentist implantologist showing dental bridge implant technology on human tooth jaw model
dentist implantologist showing dental bridge implant technology on human tooth jaw model

Types Of Dental Bridges

  • Maryland Dental Bridge – A conservative option, this bridge uses porcelain or metal wings on its sides, bonded to your adjacent teeth.
  • Traditional Dental Bridge – The most common type involves placing crowns on teeth surrounding the gap, supporting a false tooth in between.
  • Implant-Supported Bridge – This dental bridge implantation process uses implants instead of natural teeth to hold the bridge in, it offers high stability, especially for multiple missing teeth.
  • Cantilever Dental Bridge – This bridge is anchored to a single crown on one side and is often used when only one adjacent tooth is available.
  • Composite Resin Bridge – Often considered a temporary solution, this bridge is made by bonding a composite material directly to the adjacent teeth.
emax ceramic crowns and veneers

Advantages and Disadvantages of Dental Bridges?

Benefit of Dental Bridges
  • Restore Functional & Aesthetics – Bridges restore chewing ability and enhance the smile by filling gaps.
  • Prevent Teeth Shifting– They help keep surrounding teeth in place by filling the gap left by missing teeth.
  • Non-surgical option– Unlike dental implants, getting a bridge doesn’t involve surgery.
Risks of Dental Bridges
  • Affects Adjacent Teeth- For some bridges, neighboring teeth must be filed down to make space for the crown to cover it.
  • Bridge Failure- If the teeth holding the bridge fail, get infected or fracture, the whole bridge can fail as well.   
  • Potential for decay and gum disease – If not maintained, areas around or under the bridge can become susceptible to dental issues.

Advantages and Disadvantages of Dental Bridges?

Benefit of Dental Bridges
  • Restore Functional & Aesthetics – Bridges restore chewing ability and enhance the smile by filling gaps.
  • Prevent Teeth Shifting– They help keep surrounding teeth in place by filling the gap left by missing teeth.
  • Non-surgical option– Unlike dental implants, getting a bridge doesn’t involve surgery.
Risks of Dental Bridges
  • Affects Adjacent Teeth- For some bridges, neighboring teeth must be filed down to make space for the crown to cover it.
  • Bridge Failure- If the teeth holding the bridge fail, get infected or fracture, the whole bridge can fail as well.   
  • Potential for decay and gum disease – If not maintained, areas around or under the bridge can become susceptible to dental issues.
emax ceramic crowns and veneers

Talk to Najmi Dental Dentists about whether a Dental Bridge is the Best Option for You!

Frequently Asked Questions

Dental bridges can last between 5 to 15 years. In some cases, it can last longer with proper care and maintenance.

No, only a dentist can remove a dental bridge by cutting it out. It is bonded with high strength cement that makes it impossible to come out.

Our dentists in Fairfield will go over patient personalised care instructions for a dental bridge. We recommended brushing twice a day and flossing once to remove all the build up around and under the bridge. There are special ways of flossing under your bridge that our dentist will teach you. Some patients may be recommended to wear a night guard to protect their bridge and improve longevity.

We Also Offer